Submit manuscript...
Journal of
eISSN: 2373-6410

Neurology & Stroke

Short Communication Volume 15 Issue 2

Case of the multiple sclerosis cure

Ivanka Djuricic

Neurosurgeon, Academy of Applied Sciences Western Serbia, Uzice Department, Serbia

Correspondence: Ivanka Djuricic, MSc, neurosurgeon, Academy of Applied Sciences Western Serbia, Uzice Department, Uzice, Serbia

Received: February 11, 2025 | Published: April 30, 2025

Citation: Djuricic I. Case of the multiple sclerosis cure. J Neurol Stroke. 2025;15(2):29-30. DOI: 10.15406/jnsk.2025.15.00617

Download PDF

Abstract

The article talks about a patient case who has been treated for multiple sclerosis for 25 years, the possible causes of the disease and the application of quantum medicine and neurological    improvement.

Keywords: multiple sclerosis, quantum medicine, Epstein- Barr Vírus (EBV), recovery

Introduction

The notorious multiple sclerosis that has only been abating in recent years because some new possibilities for treatment are opening, connecting sufferers and exchanging experiences, as well as speculating about potential causes, such as viruses or injuries. Individuals facing this diagnosis have tried a wide range of methods to ease their challenges, experiencing differing outcomes.

Why is the clinical picture and course different with the same diagnosis, and what is common?

In this article we will debate the encouraging case of a 56-year-old woman who has carried MS for 25 years with a neurological status of the right arm and both legs paresis. The diagnosis was confirmed by the finding of oligoclonal IgG bands in the cerebrospinal fluid. Over the years the condition was variable and due to persistent pain and delayed movement a lumbar disc herniation operation was performed 15 years ago. Following that, the condition improved somewhat, with reduced pain, but unfortunately, it deteriorated again after two years. At that moment, the patient with moderate paraparesis was able to move independently for short distances. Her treatment with quantum medicine began in 2018, and since then, she has attended therapy sessions every one or two months.1

It can be said by many authors that is an autoimmune disease where the myelin of the neuronal sheath deteriorates, that is, the formation of antibodies against the central nervous system, vitamin D deficiency, and infection with the Epstein-Barr virus when it occurs. It's a transmission interruption nervous signals and symptoms can be mild stiffness, difficulty walk and the vision problems.

Conventional medicine states that therapy can improve quality of life, though complete healing is not achievable. However, here we present an example where continuity, discipline, and consistency resulted in gradual yet noticeable and lasting improvements in health.

The conditions and challenges identified and addressed through quantum therapies include candida, borrelia, helicobacter, viruses, and electro pollution. Other resolved issues include underground water disturbances, spinal blockages, muscle strengthening, glandular support (targeting the pituitary gland and hypothalamus), aluminum detoxification, and pesticide elimination (including cyfluthrin, dichlorvos, hexachlorophene, aldrin, aflatoxin, and dimethyl nitrosamine). Moreover, these therapies encompass coordination programs for muscular functions and a dedicated program tailored specifically for multiple sclerosis management.2,3

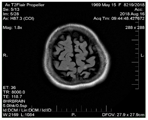
Comparing magnetic resonance recordings over time, it was determined that within a 10-year period, practically no new lesions had formed (Figure 1-3). Although the patient continues to experience some neurological interference, she remains active, fully functional, and independent. She travels frequently, has purchased a car, and drives herself. Her current neurological condition is characterized as mild paraparesis affecting the lower extremities and the right arm, yet she maintains mobility and autonomy. This review sufficiently covers her progress; no additional remarks are necessary. Conclusion stands on its own.

Figure 1 MRI image from 2006.

Figure 2 MRI image from 2018.

Figure 3 MRI images from 2020 show that there are no new lesions.

Conclusion

This single case study demonstrates that quantum medicine plays a vital role in supporting patients with MS throughout their recovery journey. It suggests that the condition and progression of the disease can differ from the standard statistical outcomes. Notably, the study highlights not only the absence of deterioration over several years but also a marked and significant improvement in the patient's overall condition.

Acknowledgments

None.

Conflicts of interest

The authors declare that there are no conflicts of interest.

References

Creative Commons Attribution License

©2025 Djuricic. This is an open access article distributed under the terms of the, which permits unrestricted use, distribution, and build upon your work non-commercially.