Submit manuscript...
Journal of
eISSN: 2574-9943

Dermatology & Cosmetology

Case Report Volume 9 Issue 3

Langerhans cell histiocytosis in a four-month-old male infant

Mohammad Ali Alshami,1 Ahlam Mohamad Al-shami,2 Hadeel Mohammad Alshami1

1Dermatology Department, Faculty of Medicine and Health Sciences, Sana’a University, Sana’a,Yemen
2Department of Conservative Dentistry, Faculty of Dentistry, Sana’a University, Sana’a,Yemen

Correspondence: Mohammad Ali Alshami, Dermatology Department, Faculty of Medicine and Health Sciences, Sana’a University, Sana’a,Yemen, Tel 00967733760082

Received: July 17, 2025 | Published: July 28, 2025

Citation: Alshami MA, Al-shami AM, Alshami HM. Langerhans cell histiocytosis in a four-month-old male infant. J Dermat Cosmetol. 2025;9(3):74-79. DOI: 10.15406/jdc.2025.09.00295

Download PDF

Abstract

Langerhans cell histiocytosis (LCH), a condition that mainly affects the skin and bones, is a rare disorder caused by the accumulation of histiocytes in different tissues. The resultant cutaneous lesions can be highly variable in appearance, potentially leading to misdiagnosis as other common dermatoses. In this report, we describe the case of a 4-month-old boy who presented with a generalized vesiculopustular itchy skin rash that had persisted for 3 months. In addition, the patient had a wide spectrum of cutaneous lesions, the pattern of which, to the best of our knowledge, has not been previously reported in the literature for LCH. On the basis of the typical clinical findings, the patient was ultimately diagnosed with LCH. This case highlights the importance of considering LCH in the differential diagnosis, even during the neonatal period, and of distinguishing this condition from other common neonatal dermatoses.

Keywords: dermatology, pediatric dermatosis, histiocyte, cutaneous lesion, langerhans cells

Abbrevation

LCH, Langerhans cell histiocytosis

Introduction

Langerhans cell histiocytosis (LCH) is a rare disorder caused by the accumulation of Langerhans histiocytes in different tissues.1 Although primarily affecting the skin and bones, other organs may be involved to a lesser extent. The estimated incidence is 1 to 2 cases per million per year in adults and 2 to 9 per million per year in children.2 Although individuals of all ages and both sexes can be affected, the peak incidence occurs in children between 1 and 3 years, with a preponderance among white males. The extent of LCH can be divided into two major categories, single-system and multisystem. “Single-system” LCH (typically in older children and adults), involves a single organs/system, which, depending on the number of sites involved, can be further subdivided into unifocal and multifocal. “Multisystem” LCH (typically in children aged < 2 years), is characterized by the involvement of two or more organs, with or without involvement/dysfunction of “risk organs” (hematopoietic system, liver, and/or spleen).2 In pediatric cases, the most frequently affected sites are bones (80%), followed by skin (40%) and the lymphatic ganglia.3

Case report

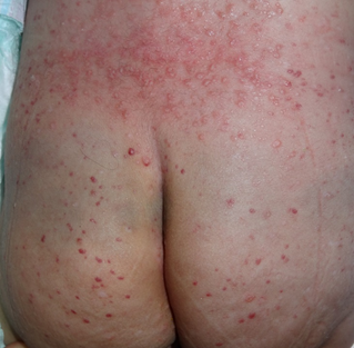
A 4-month-old boy presented with a generalized vesiculopustular itchy skin rash that had persisted for 3 months (Figure 1a - Figure 1d). In addition, the patient was characterized with a wide spectrum of cutaneous lesions, occurring concurrently in novel patterns (Figure 2a - Figure 2d). Moreover, the boy’s body temperature was elevated, but not indicative of serious illness. Given the observation of generalized vesicular lesions on the palms, soles (Figure 2a), and scalp, the initial provisional diagnosis was varicella (Figure 1d). However, the relatively long duration of symptoms (3 months) rendered this diagnosis less likely. Given the typical light-colored pearly appearance of the umbilicated papules over the patient’s face and trunk (Figure 1c, Figure 2b), molluscum contagiosum was also considered. Molluscum contagiosum was ruled out by the mosaic pattern of other cutaneous lesions, particularly the pink, purpuric papules on his lower abdomen and buttocks (Figure 1b, Figure 1c). The yellow-crusted lesions on the patient’s scalp (Figure 2c, Figure 2d) and the macerated plaques on his groin and neck (Figure 1b) suggested cradle cap, their association with the other skin lesions made this less likely. Blueberry muffin nevus was included in the differential diagnosis, due to the purpuric papules on the lower abdomen and buttocks (Figure 1b, Figure 1c). On the basis of the typical clinical findings, we ultimately arrived at a diagnosis of Langerhans cell histiocytosis (LCH).

Figure 1a An exceedingly polymorphic spectrum of skin lesions, including papules, vesicles, pustules, crusts, purpuric papules, brown, and hypopigmented macules.

Figure 1b Scattered purpuric lesions on the patient’s lower abdomen and groin, and macerated plaques over both inguinal folds.

Figure 1c Koebner phenomenon presenting as clustered, linear, and skin-colored to red papules on the patient’s waist area, some exhibiting central umbilication resembling Molluscum contagiosum. Red papules on both buttocks resemble mulberry nevi.

Figure 1d Palmar involvement, with scattered papules, vesicles, and pustules, ranging from skin-colored to dark red.

Figure 2a Plantar involvement, few scattered vesicles, pustules, and hypopigmented scars.

Figure 2b Involvement of the eyelids and nasolabial folds. Molluscum-like symmetrical, bilaterally periocular, and perinasal pearly umbilicated papules.

Figure 2c Involvement of the external ear and scalp.

Figure 2d Seborrheic dermatitis-like lesions on the occipital and retroauricular areas.

Discussion

Skin involvement is observed in 40% of children and 20% of adults with LCH. Cutaneous LCH is characterized by a spectrum of lesions that can mimic several other types of skin disease.2 The most commonly involved sites are the scalp, trunk, and intertriginous areas, with the face, palms, and soles being less commonly affected. The findings in the present case are similar to those reported by Johno et al., who described a varicelliform eruption.1 To the best of our knowledge, involvement of the palms and soles has been reported only 10 times (Table 1).

Publication Year

1st Author

Title

Journal

Country

Age & Sex

Number

1990

Herman LE

Congenital self-healing reticulohistiocytosis: A new entity in the differential diagnosis of neonatal papulovesicular eruptions

Arch Dermatol

 

1DF

1

2001

Stein SL

Langerhans cell histiocytosis presenting in the neonatal period: A retrospective case series

Arch Pediatr Adolesc Med

USA

6F, 13M

19

2010

Li Z

Two case report studies of Langerhans cell histiocytosis with an analysis of 918 patients of Langerhans cell histiocytosis in literatures published in China

Int J Dermatol

China

6MF, 2YM

2

2010

Battistella M

Neonatal and early infantile cutaneous langerhans cell histiocytosis: Comparison of self-regressive and non-self-regressive forms

Arch Dermatol

France

10M, 11F

21

2016

Morren MA

Diverse Cutaneous Presentations of Langerhans Cell Histiocytosis in Children: A Retrospective Cohort Study

Pediatr Blood Cancer

Belgium

 

32

2018

Kalpana S

Systemic Congenital Langerhans Cell Histiocytosis Masquerading as Diffuse Neonatal Hemangiomatosis

Indian Pediatr

India

3MF

1

2021

Lv X

Langerhans cell histiocytosis misdiagnosed as cow protein allergy: A case report

BMC Pediatr

China

2MM

1

2022

Han D

Multisystem Langerhans Cell Histiocytosis in Younger Infants First Presenting in Skin: A Case Series

J Pers Med

China

6,5MM, 4MF, 3.5YF, 3YF

4

2023

Utiyama TO

Langerhans cell histiocytosis: A rare case of the multisystemic form in an infant

An Bras Dermatol

Brazil

2MM

1

2024

Afonso C

Cutaneous Manifestations of Langerhans Cell Histiocytosis in Pediatric Age: A Case Report

Cureus

Portugal

8MF

1

Table 1 Reported LCH cases with Palmoplantar involvement

Diffuse hemorrhagic vesiculopustular and umbilicated papulovesicles involving the trunk, palms, and soles were reported by Morren et al.2 The involvement of the palms and soles with hemorrhagic papules and vesicles has been reported on five occasions, including the case of a 2-month-old Chinese infant described by Lv et al.4 (Table 2).

Publication Year

1st Author

Title

Journal

Country

Age & Sex

Number

2003

Inuzuka M

Congenital self-healing reticulohistiocytosis presenting with hemorrhagic bullae

J Am Acad Dermatol

Japan

1DM

1

2018

Kalpana S

Systemic Congenital Langerhans Cell Histiocytosis Masquerading as Diffuse Neonatal Hemangiomatosis

Indian Pediatr

India

3MF

1

2020

Widodo I

Case series of cutaneous Langerhans cell histiocytosis in Indonesian children: The clinicopathological spectrum

Dermatol Rep

Indonesia

4F, 6M

10

2021

Lv X

Langerhans cell histiocytosis misdiagnosed as cow protein allergy: A case report

BMC Pediatr

China

2MM

1

2023

Utiyama TO

Langerhans cell histiocytosis: A rare case of the multisystemic form in an infant

An Bras Dermatol

Brazil

2MM

1

Table 2 Reported LCH cases with hemorrhagic skin lesions

In contrast, hypopigmented macules accompanied by vesiculopustules on the palms and soles have been reported 11 times, including by Battistella et al. (Table 3).2,5,6,7

Publication Year

1st Author

Title

Journal

Country

Age & Sex

Number

2010

Battistella M

Neonatal and early infantile cutaneous langerhans cell histiocytosis: Comparison of self-regressive and non-self-regressive forms

Arch Dermatol

France

10M, 11F

21

2010

Mehta B

Langerhans cell histiocytosis presenting as hypopigmented papules

Pediatr Dermatol

India

1.5YM

1

2014

Uaratanawong R

Congenital self-healing reticulohistiocytosis presented with multiple hypopigmented flat-topped papules: A case report and review of literatures

J Med Assoc Thai

Thailand

2MF

1

2016

Kassardjian M

Congenital selfhealing reticulohistiocytosis: An underreported entity

Cutis

USA

6MM

1

2018

Mori S

Cutaneous Langerhans cell histiocytosis presenting with hypopigmented lesions: Report of two cases and review of literature

Pediatr Dermatol

USA

5WM, 10MF

2

2018

Bishnoi A

Hypopigmented and acneiform lesions: An unusual initial presentation of adult-onset multisystem Langerhans cell histiocytosis

Indian J Dermatol Venereol Leprol

India

35YM, 21YM

2

2019

Wu X

Congenital self-healing reticulohistiocytosis with BRAF V600E mutation in an infant

Clin Exp Dermatol

China

5MF

1

2020

Dhar S

Langerhans cell histiocytosis in children: A retrospective case series of 126 cases

Pediatr Dermatol

India

 

126

2023

Utiyama TO

Langerhans cell histiocytosis: A rare case of the multisystemic form in an infant

An Bras Dermatol

Brazil

2MM

1

2024

Afonso C

Cutaneous Manifestations of Langerhans Cell Histiocytosis in Pediatric Age: A Case Report

Cureus

Portugal

8MF

1

2024

Xiao A

Hypopigmented Cutaneous Langerhans Cell Histiocytosis in a Hispanic Infant

Cutis

USA

7MM

1

2008

Feroze K

Langerhans cell histiocytosis presenting with hypopigmented macules

Indian J Dermatol Venereol Leprol

India

3YM

1

Table 3 Reported LCH cases with Hypopigmented lesions

Involvement of the eyelids has only been reported 10 times, including cases described by El Hindy et al., Ramzan et al., Huang et al., and Gupta et al., in which the patients had single, unilateral lesions on either the upper or lower eyelids (Table 4).7–9

Publication Year

1st Author

Title

Journal

Country

Age & Sex

Number

1989

Tosaka Y

A case of localised histiocytosis X of the eyelid

Nippon Ganka Gakkai Zasshi

Japan

33YM

1

1992

Miller ML

Diffuse histiocytosis X involving the eyelid of a 65-year-old woman

Am J Ophthalmol

USA

65YF

1

1994

Weissgold DJ

Eosinophilic granuloma of the eyelid

Ophthalmic Plast Reconstr Surg

USA

15YF

1

1995

Daras C

Langerhans' cell histiocytosis of the eyelid

Br J Ophthalmol

South Africa

3YF

1

1998

Chikama T

Langerhans cell histiocytosis localized to the eyelid

Arch Ophthalmol

Japan

46YM

1

2009

Oono S

Langerhans cell histiocytosis limited to the eyelid margin

Jpn J Ophthalmol

Japan

52YM

1

2011

El Hindy N

Langerhans cell histiocytosis of the eyelid

J Paediatr Child Health

 

7YM

1

2012

Ramzan M

Eyelid nodule: A rare presentation of Langerhans cell histiocytosis

J Pediatr Hematol Oncol

India

5YM

1

2012

Huang JT

Langerhans cell histiocytosis mimicking molluscum contagiosum

J Am Acad Dermatol

 

2YF

1

2014

Gupta R

Langerhans cell disease of the eyelids masquerading as blepharochalasis

Pediatr Dermatol

India

4YF

1

Table 4 Reported LCH cases with eyelid involvement

In the present case, we observed multiple, symmetrical bilateral lesions that were distributed on both the upper and lower eyelids, similar to the observations reported by Gupta et al.7 Although involvement of the nasolabial folds has rarely been reported, the Koebner phenomenon, observed in the present case as a belt on the waist area, has previously been described by Akay et al. in a Turkish girl.9

In this case it is characterized by the clustering of lesions on the sacral area. In a case described by Dhar et al., it was assumed that the lesions were attributable to friction.10,11 Additionally, involvement of the paranasal and preauricular areas, as well as the scalp was reported by Akay et al. in a Turkish girl.10 Minute lichen nitidus-like papules have been reported by both Dhar et al., and Lozano Masdemont et al.11,12 In the present case, we detected two minute hypopigmented, lichen nitidus-like papules on the patient’s right hand. Furthermore, molluscum-like pearly umbilicated papules have been reported by Huang et al.,12 in a 2-year-old girl who had pink friable papules on the margin of her eyelid.4 (Table 5)

Publication Year

1st Author

Title

Journal

Country

Age & Sex

Number

2010

Mehta B

Langerhans cell histiocytosis presenting as hypopigmented papules

Pediatr Dermatol

India

1.5YM

1

2011

Edwards AN

Molluscumlike papules in a 4-month-old boy--quiz case: Langerhans cell histiocytosis (LCH)–congenital self-healing reticulohistiocytosis

Arch Dermatol

USA

4MM

1

2012

Huang JT

Langerhans cell histiocytosis mimicking molluscum contagiosum

J Am Acad Dermatol

USA

2YF

1

2015

Hatter AD

Langerhans Cell Hyperplasia from Molluscum Contagiosum

Am J Dermatopathol

 

14YM

1

2017

Karpman MS

Molluscum Contagiosum-Like Presentation of Langerhans Cell Histiocytosis: A Case and Review

Pediatr Dermatol

Canada

5.5MF

1

2018

Fernández Armenteros JM

Langerhans cell histiocytosis mimicking molluscum contagiosum: A case series

Pediatr Blood Cancer

Spain

5MF, 13MM, 24YF

3

2022

Sanke S

Molluscum-Like Lesions in a Child with T Cell Lymphoma

Indian J Dermatol

India

3YF

1

2022

Katayama S

An Uncommon Pediatric Rash: Langerhans Cell Histiocytosis

J Pediatr

Japan

5MF

1

2019

Campos-Filho MM

Molluscum contagiosum-like presentation of Langerhans cell histiocytosis: A case report

WDC

Brazil

3YM

1

Table 5 Reported cases of LCH presenting with Molluscum like lesions

This contrasts with the present case, in which more typical, skin-colored umbilicated lesions were symmetrically and bilaterally distributed on the patient’s periocular and perinasal areas. These are broadly consistent with the polymorphic cutaneous lesions described by Katayama et al.13

Acknowledgments

None.

Conflicts of interest

The authors declare there is no conflict of interest.

Funding

None.

References

  1. Johno M, Oishi M, Kohmaru M, et al. Langerhans cell histiocytosis presenting as a varicelliform eruption over the entire skin. J Dermatol. 1994;21(3):197–204.
  2. Morren MA, Vanden Broecke K, Vangeebergen L, et al. Diverse cutaneous presentations of Langerhans cell histiocytosis in children: a retrospective cohort study. Pediatr Blood Cancer. 2016;63(3):486–492.
  3. Krooks J, Minkov M, Weatherall AG. Langerhans cell histiocytosis in children: diagnosis, differential diagnosis, treatment, sequelae, and standardized follow-up. J Am Acad Dermatol. 2018;78(6):1047–1056.
  4. Lv X, Wang L, Pi Z, et al. Langerhans cell histiocytosis misdiagnosed as cow protein allergy: a case report. BMC Pediatr. 2021;21(1):
  5. Battistella M, Fraitag S, Teillac DH, et al. Neonatal and early infantile cutaneous Langerhans cell histiocytosis: comparison of self-regressive and non-self-regressive forms. Arch Dermatol. 2010;146(2):149–156.
  6. El Hindy N, Ong JM, Kalantzis G, et al. Langerhans cell histiocytosis of the eyelid. J Paediatr Child Health. 2011;47(4):240–242.
  7. Gupta R, Gautam RK, Dewan T, et al. Langerhans cell disease of the eyelids masquerading as blepharochalasis. Pediatr Dermatol. 2014;31(1):e31–e32.
  8. Ramzan M, Yadav SP, Bhalla S, et al. Eyelid nodule: a rare presentation of Langerhans cell histiocytosis. J Pediatr Hematol Oncol. 2012;34(4):e158–e160.
  9. Akay BN, Farabi B, Kuzu I, et al. A rare case of multisystemic Langerhans cell histiocytosis mimicking diffuse neonatal hemangiomatosis. Dermatol Ther. 2020;33(6):
  10. Dhar S, Srinivas SM, Dhar S, et al. Langerhans cell histiocytosis in children: a retrospective case series of 126 cases. Pediatr Dermatol. 2020;37(6):1085–1089.
  11. Masdemont BL, Gómez-Recuero Muñoz L, Álvarez-Santullano AV, et al. Langerhans cell histiocytosis mimicking lichen nitidus with bone involvement. Australas J Dermatol. 2017;58(3):231–233.
  12. Huang JT, Mantagos J, Kapoor R, et al. Langerhans cell histiocytosis mimicking molluscum contagiosum. J Am Acad Dermatol. 2012;67(3):e117–e118.
  13. Katayama S, Ota M. An uncommon pediatric rash: Langerhans cell histiocytosis. J Pediatr. 2022;243:233–234.
Creative Commons Attribution License

©2025 Alshami, et al. This is an open access article distributed under the terms of the, which permits unrestricted use, distribution, and build upon your work non-commercially.