Submit manuscript...
Journal of
eISSN: 2574-9943

Dermatology & Cosmetology

Case Series Volume 9 Issue 3

Atypical presentation of chromoblastomycoses in Eastern India: a case series

Dyuti Das,1 Supratim Karmakar,1 Kokila Banerjee,2 Shatanik Bhattacharya,1 Souvik Barman1

1Department of Dermatology, Venereology and Leprosy, Medical College and Hospital, Kolkata, India
2Head, Department of Microbiology, Drs. Tribedi and Roy Diagnostic Laboratory, Kolkata, India

Correspondence: Dyuti Das, Medical College and Hospital, Kolkata Department of Dermatology, Venereology and Leprosy 88, College Street, Kolkata-73, West Bengal, India, Tel 9051468678

Received: May 15, 2025 | Published: July 29, 2025

Citation: Das D, Karmakar S, Banerjee K, et al. Atypical presentation of chromoblastomycoses in Eastern India: a case series. J Dermat Cosmetol. 2025;9(3):81-86. DOI: 10.15406/jdc.2025.09.00296

Download PDF

Abstract

Chromoblastomycosis (CBM) is a chronic fungal skin infection typically affecting individuals in tropical and subtropical regions, particularly agricultural workers. The disease arises from traumatic inoculation of dematiaceous fungi, such as Fonsecaea pedrosoi and Cladophialophora carrionii, found in soil and decaying vegetation. CBM often mimics other dermatoses, including cutaneous tuberculosis, resulting in diagnostic delays. This case series from Eastern India presents four atypical cases initially misdiagnosed and treated as lupus vulgaris due to overlapping clinical features. Re-evaluation with histopathology, KOH mounts, and fungal cultures confirmed CBM, highlighting pseudoepitheliomatous hyperplasia and the presence of Medlar bodies as diagnostic hallmarks. Treatment with oral itraconazole led to significant clinical improvement in all cases. The report emphasizes the importance of considering CBM in chronic, verrucous skin lesions, especially in TB-endemic areas, and underlines the role of early biopsy and mycological investigations for accurate diagnosis and management. Early intervention improves outcomes and limits complications.

Keywords: chromoblastomycosis, pseudoepitheliomatous hyperplasia, pruritic, discoid lupus erythematosus (DLE), lesions

Introduction

Chromoblastomycosis (CBM) is primarily a disease of tropical or subtropical regions. Cases have been reported from temperate climates as well. Many of the patients work outdoors in agricultural occupations. This prevalence corroborates with the source of the etiopathogenic organisms of CBM, many of which have been isolated from decaying wood or soil.1

The etiological agents of CBM belong to the order Chaetothyriales, family Herpotrichiellaceae, and include: Fonsecaea pedrosoi, Fonsecaea monophora, Cladophialophora carrionii, Phialophora verrucosa, and Rhinocladiella similis.2 The most prevalent species (90%) is F. pedrosoi.3

CBM manifests clinically as oligosymptomatic or asymptomatic lesions, which would explain why patients only tend to seek medical care after months or even years of living with the disease. The initial lesion is usually on exposed areas, at the infection site, usually a papule with centrifugal growth that evolves to any one of the several clinical forms. The polymorphism of CBM lesions encouraged some authors to develop various classifications of the clinical forms, most of which are no longer used, while the classification proposed by Carrión in 1950 (Table 1) is still in use.4

Clinical variant

Description

Nodular

Fibrotic, erythematous-violaceous nodules, with smooth or hyperkeratotic surface

Verrucous or warty  

Cauliflower-like, dry, hyperkeratotic lesions with black dots

Plaque

Erythematous or violaceous plaques, infiltrated, circumscribed, irregular edges with black dots 

Tumoral 

Isolated or coalescent lobulated lesions, smooth or vegetative-like surface

Cicatricial or atrophic

Annular, serpiginous, or irregular lesions with centrifugal growth and central atrophic areas

Table 1 Clinical classification according to Carrion

The initial lesion may remain circumscribed to the inoculation site for months or years, later evolving into one of the lesion types, characteristic of clinical polymorphism of CBM. The great majority of CBM lesions are located on the lower limbs, especially in agricultural workers. Direct microscopy using potassium hydroxide (KOH) 10-20% or KOH/DMSO reveals muriform (sclerotic) bodies, pathognomonic of CBM regardless of the causative species. Occasional dematiaceous hyphae may be associated with the muriform bodies in the material. The specimens with the highest likelihood of a positive result are those from lesions with the so-called “black dots” that are visible on the lesion’s surface, representing transdermal elimination of the fungus.

Fungal culture in Sabouraud’s Dextrose agar is used to isolate and identify species, but the causative agents usually present very similar macromorphological characteristics. F. pedrosoi produces velvety, dark-brown, olive-green, or black colonies. Phialophora verrucosa produces slow-growing, velvety, moss-green, brown, or black colonies.5

Histopathologically, CBM is characterized by an epidermis with hyperparakeratosis, pseudoepitheliomatous hyperplasia, intracorneal microabscesses, and transdermal elimination of fungi. The dermis presents dense granulomatous inflammation with different degrees of fibrosis, consisting of mononuclear cells (histiocytes, lymphocytes, and plasma cells), epithelioid cells, giant cells (Langhans and foreign body types), and polymorphonuclear cells. Fungal cells with their characteristic micromorphology - round, dark-brown, thick-walled, 4-12 microns in diameter and with multiplanar reproduction, called muriform (sclerotic) bodies - are found in intraepidermal microabscesses in multinucleated Langhans and/or foreign body-type cells, in suppurative or tuberculoid granulomas, easily identified by hematoxylin-eosin staining.

CBM is difficult to treat and is associated with low cure rates and high relapse rates, especially in chronic and extensive cases. Treatment choice and results depend on the etiological agent, size and extent of the lesions, topography, and presence of complications.5

In this case series, the importance of clinical diagnosis along with strong suspicion of considering chromoblastomycosis in chronic verrucous conditions is highlighted.

Case 1

A 41 year old man, carpenter by occupation, presented with numerous, itchy, reddish gradually progressive solid raised lesions over the left leg for the past 3 years.

The lesions first appeared over the knee following a prick from a wooden splinter, subsequently increased in size and number to extend till left ankle. The lesions were mostly asymptomatic but sometimes were pruritic. There was no history of tuberculosis, travelling to areas endemic to leishmaniasis, atopy or spreading of lesions on minor trauma. Patient had no significant comorbidities or family history.

On examination, numerous erythematous papules and nodules coalescing to form verrucous plaques with irregular margins, with size ranging from 0.5 – 3cm were noted. Some lesions appeared annular as central portion resolves with scarring. Multiple lesions noted as discrete islands scattered within unaffected skin. Only the left leg was involved, extending from knee to ankle.

No hair, nail or mucosal changes noted. No lymphadenopathy. Systemic examination was within normal limits.

Clinical differentials considered were cutaneous tuberculosis such as lupus vulgaris and TBVC, verrucous DLE / sarcoidosis, lichen planus hypertrophicus, blastomycosis, leishmaniasis, chromoblastomycosis, prurigo nodularis and verruca vulgaris.

Basic laboratory evaluation was within normal limits. Chest x ray was normal, ANA levels not elevated and serology for HIV was non-reactive. However, Mantoux test was positive at 15 x 14 mm.

Histopathology revealed chronic mixed infiltrate in dermis with epithelioid granulomas and Langhans giant cells and special stains like GMS and PAS stain could not detect any specific infective agent.

Based on clinical features, Mantoux test and histopathology, a diagnosis of lupus vulgaris was made and patient was started on ATT.

However, after 8 weeks of ATT, there was no significant improvement noted and a re-evaluation was done comprising of fungal cultures, 10% KOH examination and biopsy.

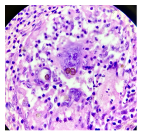
Pseudo-epitheliomatous hyperplasia, dermal infiltrate showing epithelioid granulomas, Acanthotic epidermis, ill-defined granulomas with Langans giant cells. Occasional cluster of thick walled, brownish spores/ sclerotic bodies were noted in the dermis 10% KOH mount: round, pigmented sclerotic bodies or “Medlar bodies”.

Fungal cultures showed growth of Cladophialophora species.

A diagnosis of chromoblastomycosis was made and patient was started on Itraconazole 400 mg/day for 6 months, lesions resolved almost entirely at the end of 6 months.

Initial Evaluation

(Figure 1– Figure 4)

Figure 1 Initial presentation: Verrucous plaques over the left leg extending from knee to ankle.

Figure 2 No significant improvement after 8 weeks of ATT.

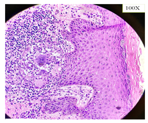
Figure 3 Pseudoepitheliomatous hyperplasia: Dermal infiltrate showing epithelioid granulomas.

Figure 4 Acanthotic epidermis: Ill-defined granulomas with lagans giant cells.

Re-evaluation

(Figure 5 & Figure 6)

Figure 5 10% KOH mount: Round, pigmented sclerotic bodies or “Medlar bodies”

Figure 6 Occasional cluster of thick walled: Brownish spores/sclerotic bodies were noted in the dermis

Case 2

A 70-year-old man presented with a round to oval elevated skin lesion that had been gradually progressing over the past two years. It initially appeared as a papule, which eventually ulcerated and then healed with central atrophy and scarring. The lesion’s margins were raised in some areas.

The differential diagnoses considered included Discoid Lupus Erythematosus (DLE), lupus vulgaris, porokeratosis, fixed cutaneous sporotrichosis, ecthyma, leishmaniasis, Christiano’s disease (annular atrophic plaques), appendageal tumors, and acrodermatitis chronica atrophicans.

Based on clinical suspicion of lupus vulgaris, the patient was started on Anti-Tubercular Therapy (ATT), which he continued for one year. On physical examination, there was an annular plaque located on the left knee, measuring approximately 4 × 3 cm. The plaque displayed features of a healed ulcer with central atrophy and scarring, along with elevated borders.

There was no personal history of tuberculosis in childhood, nor were there any respiratory symptoms or systemic signs suggestive of tuberculosis. The patient denied any history of trauma involving decaying wood or thorn pricks. There were no symptoms of photosensitivity, oral ulcers, joint pain, and systemic features of polyserositis, pallor, bleeding episodes, weight loss, fever, insect bites, or high-risk sexual behavior. There were also no similar lesions tracking along lymphatic vessels.

Mantoux test results were inconclusive, prompting the continuation of anti-tubercular treatment at the time. However, a biopsy was later performed since there was incomplete resolution. Histopathological examination revealed pseudoepitheliomatous hyperplasia, suppurative granulomas, neutrophilic microabscesses, lymphoplasmacytic infiltrate, occasional histiocytes, and eosinophils. Most notably, sclerotic (Medlar) bodies were observed confirming the diagnosis of chromoblastomycosis.

The patient was started on oral itraconazole 200 mg/day for 6 months, and he showed a dramatic clinical improvement following treatment. (Figure 7 & Figure 8)

Figure 7 Annular plaque with central atrophy and raised margins on left knee

Figure 8 H&E stain showing pseudoepitheliomatous hyperplasia and presence of Medlar bodies

Case 3

A 60-year-old male presented with a purplish, elongated, elevated lesion on the lateral aspect of the left side of the neck, present for the past 5–6 years.

On examination, the lesion appeared as an annular plaque measuring 2 × 1.5 cm. It was hyperpigmented with a raised, infiltrated margin and central atrophy. A smaller adjacent lesion, likely a satellite lesion, was noted with slightly raised edges. The lesion was associated with pruritus.

There was no history of insect bites, trauma (e.g., thorn prick), fever, upper respiratory tract infection, or constitutional symptoms such as weight loss. The patient denied symptoms or history suggestive of hypothyroidism, photosensitivity, urticaria, arthralgia, or high-risk sexual behavior. There was no evidence of keratoderma, perifollicular keratotic papules, vesiculobullous eruptions, drug intake (including penicillamine), or stasis changes. No lymphadenopathy or systemic symptoms were observed. Differential Diagnoses considered: granuloma annulare, sarcoidosis, actinic lichen planus, lichen simplex chronicus (LSC), Hansen’s Disease.

The lesion was initially treated with multiple doses of intralesional corticosteroids, with no significant clinical improvement. A 4 mm punch biopsy was taken from the lesion for histopathological examination.

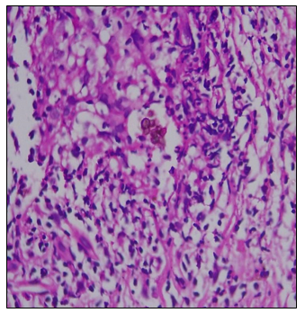
Histopathology findings revealed pseudoepitheliomatous hyperplasia, suppurative granuloma, neutrophilic microabscesses, epithelioid cells, multinucleated Langhans giant cells and lymphohistiocytic infiltrate. Presence of sclerotic (Medlar) bodies on H&E staining.

Final Diagnosis was Plaque-type Chromoblastomycosis. Subsequently, the patient was started on oral Itraconazole 400mg/day for 4 months, to which he responded well.

(Figure 9 & Figure 10)

Figure 9 Hyperpigmented annular plaque with raised margins and central atrophy on the lateral neck

Figure 10 Histopathological section showing Medlar bodies in the granuloma (H&E stain)

Case 4

A 62-year-old male presented with a pinkish, raised lesion on the right ankle, persisting for the past five years. The condition began with two separate lesions of insidious onset, which gradually enlarged and eventually merged into a single lesion. The patient reported mild tenderness and occasional bleeding from the site.

On clinical examination, a 5 × 5 cm raised annular plaque was observed, characterized by a hyperpigmented border and a central atrophic, non-scaly area. Mild pruritus was present. There was no lymphadenopathy or evidence of systemic involvement.

The differential diagnoses considered included Lupus Vulgaris, Lichen Planus Hypertrophicus, and subcutaneous fungal infections. A Mantoux test was performed and returned negative.

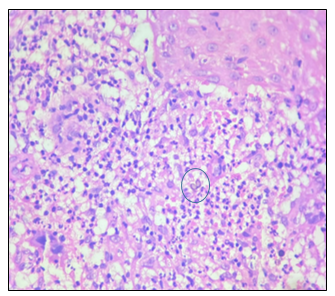
Histopathological examination revealed pseudoepitheliomatous hyperplasia, suppurative granuloma with epithelioid cells, multinucleated Langhans giant cells, lymphohistiocytic infiltrate, and the presence of sclerotic (Medlar) bodies on hematoxylin and eosin staining.

The patient was initiated on oral Itraconazole 200 mg daily, with liver function tests monitored biweekly. Marked clinical improvement was observed after three months of treatment.

(Figure 11– Figure 14)

Figure 11 Annular plaque with hyperpigmented border and crusting center on right ankle

Figure 12 Histopathological features showing pseudoepitheliomatous hyperplasia and suppurative granulomas with Medlar bodies

Figure 13 Medlar bodies on HPE

Figure 14 Post-treatment appearance after 4 months of oral itraconazole showing significant resolution

Discussion

Tuberculosis, both pulmonary and extrapulmonary, remains a major public health concern in India, where it is an endemic disease. Of all the patients that present with extrapulmonary manifestations of tuberculosis, 1% to 2% suffer from cutaneous tuberculosis.6 Skin TB may clinically mimic cutaneous CBM as both the conditions usually present with hyper pigmented verrucous lesions of skin. There are other mimickers for chromoblastomycosis as well like leprosy, mycetoma, dermal leishmaniasis, tertiary syphilis, phaeohyphomycosis, lobomycosis, paracoccidioidomycosis, and sporotrichosis.7

CBM is a rare chronic fungal infection of skin and subcutaneous tissue which is primarily a disease of tropical and subtropical regions and affects mainly the agricultural workers. The disease is transmitted through inoculation of soil or vegetable matter contaminated by fungi or traumatic injury with wood splinters or thorns. The skin lesions generally arise on the lower extremities as a warty nodule and progress to form verrucous plaque-like lesions which may become tumorous and even cauliflower-like in appearance. Reshu Agarwal et al, in a study of 169 cases, described the lower limb as the most common site afflicted site (96 cases), followed by upper limb (33 cases), face (12 cases), and trunk (6 cases). In 3 cases, unusual sites alone such as genitals and axilla were involved.7

While some of the lesions heal with scarring, new lesions may appear in the vicinity resulting from the spread of the fungus along superficial lymphatics. Hematogenous spread is rare and carries a relatively grave prognosis.

A triad of pseudoepitheliomatous hyperplasia, noticeable neutrophilicinfiltration with the development of microabscesses, and distinctive sclerotic bodies is very specific for chromoblastomycosis.

A combined histopathological and mycological diagnosis is a very sensitive method, and there are no serological testing available.

KOH mount is the sensitive screening tool based on which therapy can be instituted. In a case series by Manjunath Shenoy et al, out of 22 cases studied all of them showed KOH positivity for Medlar bodies.8 However, a study done in Kerala on 35 patients showed only 42.8% positivity.9

Elephantiasis related lymphatic disruption is one of the frequent side effects.

Rarely, epidermoid carcinoma may develop in chronic situations.6

All four cases that were in this series shared several clinical, histopathological, and diagnostic patterns with variations in patient age and lesion location.

Each case involved lesions persisting for 2–6 years, emphasizing the indolent and slow-progressing nature of chromoblastomycosis. Lesions were predominantly annular plaques with central atrophy and scarring, raised verrucous or hyperpigmented borders, and occasional pruritus. The most commonly affected areas were lower limbs (legs/ankle) and neck, likely due to frequent minor trauma or exposure. All patients were initially misdiagnosed as having lupus vulgaris, lichen planus hypertrophicus, DLE, or sarcoidosis, leading to delayed appropriate treatment. Poor response to empirical treatments like ATT or corticosteroids was a clue toward re-evaluation.

Histopathology was key to diagnosis in all cases, consistently showing Pseudoepitheliomatous hyperplasia, Suppurative granulomas, Langhans giant cells. Most crucially, presence of sclerotic (Medlar) bodies, pathognomonic of chromoblastomycosis.

Mantoux test varied (positive in one case, negative or inconclusive in others), reinforcing the need for histological confirmation rather than relying solely on tuberculin testing.

Fungal cultures were performed in Case 1, confirming Cladophialophora, while others were diagnosed histologically.

All cases were ultimately treated with oral itraconazole (200–400 mg/day) for extended durations. Marked clinical improvement was seen in all, supporting itraconazole’s efficacy in plaque-type disease. Health services in most endemic areas lack professionals trained in the early diagnosis and clinical management of CBM, resulting in a lack of skin biopsies, direct microscopy, histopathology with fungal stains, or fungal culture. Consequently, patients are usually diagnosed several years after clinical manifestations, increasing the risk of sequelae. The doses of itraconazole used in CBM therapy range from 200-400 mg/day depending on the severity of the disease. Most patients with mild-to-moderate clinical forms respond to a long-term therapy with a daily dose of 200 mg of itraconazole.10

Surgery, cryotherapy, and medication are some of the potential treatment options. Itraconazole, terbinafine, potassium iodide, and flucytosine, either alone or in combination with thiabendazole, have all been used with success for six months to a year. Although the ideal treatment length varies from case to case, pulse therapy is more cost-effective and improves patient compliance.

Cure rates of 76.92% and 100%, respectively, were achieved when itraconazole and terbinafine alone were prescribed. Their combination yielded 100% success rate in a study.11

Liquid nitrogen cryotherapy is advised for small, circumscribed lesions since it has demonstrated positive outcomes with little adverse effects.

Combining irradiation and 5-aminolevulinic acid with antifungal medication has been effective in resistant instances.11

Given the endemic nature of tuberculosis in India, clinicians must maintain a high index of suspicion for CBM, which is not as common as tuberculosis, and is generally not the first differential considered. Dermatologists and pathologists should be aware of this condition especially when dealing with verrucous lesions of the skin. Pathologists should search for fungal spores in cutaneous lesions with pseudoepitheliomatous hyperplasia and dermal abscess. Early biopsy and microbiological testing are key to confirming the diagnosis and initiating timely therapy.

Conclusion

Even though it is rare, CBM needs to be taken into account when making a differential diagnosis for persistent skin lesions, especially cutaneous tuberculosis, in patients from tropical and subtropical areas. This will allow timely initiation of proper and adequate treatment. Although it presents a therapeutic challenge, CBM spreads relatively slowly, is rarely lethal, and typically has a fair prognosis.

Acknowledgments

None.

Conflicts of interest

The authors declare there is no conflict of interest.

Funding

None.

References

Creative Commons Attribution License

©2025 Das, et al. This is an open access article distributed under the terms of the, which permits unrestricted use, distribution, and build upon your work non-commercially.