Submit manuscript...
Journal of
eISSN: 2475-5540

Stem Cell Research & Therapeutics

Opinion Volume 10 Issue 1

New reply to evolutionary immunologists in 3 aspects: lymphocytes, adaptative immunity, genomics: Part I

Michel Leclerc

Immunology of Invertebrates, Orléans University, France

Correspondence: Michel Leclerc, Immunology of Invertebrates, Div: Biochem/Biology, Orléans University, 556 rue Isabelle Romée, 45640 Sandillon, France

Received: May 20, 2025 | Published: June 9, 2025

Citation: Leclerc M. New reply to evolutionary immunologists in 3 aspects: lymphocytes, adaptative immunity, genomics. J Stem Cell Res Ther. 2025;10(1):88-89. DOI: 10.15406/jsrt.2025.10.00188

Download PDF

Abstract

It is well-known that evolutionary immunologists from AAI contest our data. By our turn we contest them. We present again our work with the well-known B sea star lymphocyte and T sea star lymphocyte. They show strong homologies with mammal lymphocytes as described below. So why to speak of central DOGMA? Why a dogma? Which has not been demonstrated! Or, may be, yes, but at your convenience! In a second time we present the sea star adaptative immunity, in a third one sea star genomics.

Keywords: B sea star lymphocyte, T sea star lymphocytes, adaptative immunity, genomics, evolution of the immune response

Introduction

It was said (AAI) despite some indications from more 30 years ago that invertebrates also have a specific (Adaptative) immune system based on the clonal expansion of activated lymphocytes, it has become the central dogma of evolutionary immunologists (From AAI) that onvertebrates, in the absence of « true » lymphocytes and functional Ab, rely entirely »…. I, presently describe the sea star lymphocytes.

The B sea star lymphocytes

The sea star B lymphocyte is found in the sea star axial organ which has been considered by us, as an ancestral lymphoïd organ.1 Other lymphocytes are supposed to be also present in Tiedeman’s bodies of different starfishes.

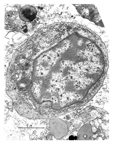
The sea star B lymphocyte, of 4µ in diameter presents a rough reticulum endoplasmic, particularly highly developed. It has been well documented in TEM.2 We observe it in the Figure 1. It resembles mammal lymphocytes in its entiere morphology.

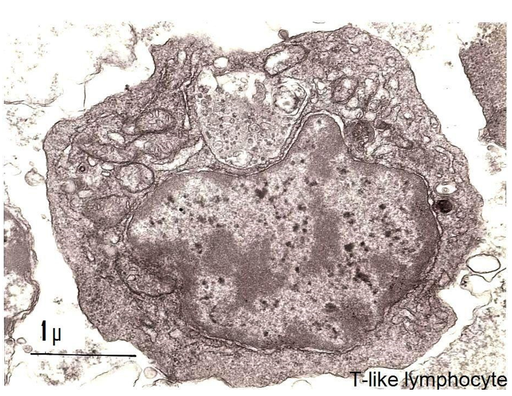
Figure 1 The sea star T lymphocyte.

It binds humanT-Cell receptor and CD 14 human receptor: it was controlled by flow cytometry. At last, it is noticeable, that after immunizations of sea stars with various antigens, B sea star lymphocytes increase in percentages , when compared to the whole axial organ cell population: it goes from 10% up to 45%.

The T sea star lymphocyte

The T sea star lymphocyte (Figure 2) is also found in the sea star Axial organ. It is also 4µ in diameter. It is said a nylon-wool non adherent cell (as physical property). It is may be also obtained in a reaction of agglutanibility with lectins such as ConcanavalinA. The T sea star lymphocytes induced angiogenesis and splenomegaly in Vertebrate hosts:2 it’s a characteristic also of Mammal lymphocytes. This T sea star lymphoyte has mitogenic properties as mammal one : it is stimulated by lectins as ConA, PWM.It binds T-cell receptor (at at a lower degree than B sea star Lymphocyte and CD7 human receptor.

Figure 2 The B sea star lymphocyte.

We speak of adaptative immunity in sea star immune system correlated to IPA : Invertebrate Primitive antibody., after cooperation of T and B sea star lymphocytes and phagocytes which play the rôle of macrophages as IT was CLEARLY demonstrated in 1986.4 Further more, we have found MHC genes3,5 in these Invertebrates which are Echinoderms. And now 2 questions to you: 1) What do you call a « true » lymphocyte ? My reply: a lymphocyte is a lymphocyte 2)Who are the evolutionnary evolutionnary immunologists? You from AAI or me? It’s a true question!

Acknowledgments

None.

Conflicts of interest

The author declares that there is no conflicts of interest.

References

Creative Commons Attribution License

©2025 Leclerc. This is an open access article distributed under the terms of the, which permits unrestricted use, distribution, and build upon your work non-commercially.