Submit manuscript...
Journal of
eISSN: 2373-4345

Dental Health, Oral Disorders & Therapy

Case Report Volume 17 Issue 1

Simple management of an endo-ortho problem using an intracanal medication: a case report with 24-month follow-up

Mohamed Fawzy,1 Hatem A Alhadainy2

1Department of Endodontics, Faculty of Dentistry, Tanta University, Egypt
2University of North Carolina, USA

Correspondence: Hatem A Alhadainy, University of North Carolina, Chapel Hill, USA

Received: October 03, 2025 | Published: February 2, 2026

Citation: Fawzy M, Alhadainy HA. Simple management of an endo-ortho problem using an intracanal medication: a case report with 24-month follow-up. J Dent Health Oral Disord Ther. 2026;17(1):15-18. DOI: 10.15406/jdhodt.2026.17.00662

Download PDF

Abstract

Background: Displaced anterior teeth may be associated with periapical lesions and form an ortho-endo problem that requires special attention and careful planning. This case report documented the use of an intracanal medicament to stimulate the healing of a large periapical lesion and treat severely displaced incisors.

Methods: A 13-year-old patient was presented with a 14x26 mm periapical radiolucency related to displaced incisors. After chemo-mechanical preparation, calcium hydroxide medicament was placed in the canals and changed every 2 weeks for 3 months. The canal was then freshly cleaned and filled with gutta‐percha and sealer. The coronal preparation was sealed with glass ionomer filling.

Results: At the 24-month follow-up, the teeth were asymptomatic. The radiographs showed correction of the incisor displacement after bone regeneration, and a significant reduction in the lesion size. Conclusion: Conventional endodontics with an intracanal medicament can correct an ortho-endo problem in incisors with a large periapical lesion.

Clinical significance: Dentists should not initiate orthodontic intervention for an endo-ortho problem until the periapical lesion has completely healed.

Keywords: calcium hydroxide, intracanal medicament, periapical lesion, ortho-endo problem, severely displaced incisors

Introduction

Large periapical lesions may cause displacement of anterior teeth due to pressure on their apices, triggering ortho-endo problems. Displaced anterior teeth require special attention and careful planning to preserve their integrity. Periapical lesions are a sequence of pulpal diseases that result from the infiltration of microbes and their by-products through peri-radicular tissues.1 The dynamic combat between the host's immune response and microbial infection factors in the periodontal tissue results in bone resorption and the development of periapical lesions that are not self-healing.2 Treatment approaches for those lesions range from conventional endodontic therapy with or without endodontic surgery to tooth extraction.3-5 Non-surgical endodontic treatment with intracanal medicaments may enable the healing of extensive lesions. Various studies reported a success rate of up to 85% after non-surgical endodontic treatment.6-9 A higher percentage (94.4%) of partial and complete healing of periapical lesions following nonsurgical endodontic therapy was reported.10

Calcium hydroxide is widely used as an intracanal medicament to control periapical infections due to the fourfold bactericidal effect. It provides a good environment for the healing process through its anti-inflammatory activity, activates alkaline phosphatase, neutralizes the acidity of bacterial products, and has antibacterial action.4,12 In addition, direct contact between calcium hydroxide and periapical tissues may simulate inductive action,14,15 and high success can be obtained when using it beyond the apex in large periapical lesions.16,17 Therefore, it is thought to create favorable conditions for periapical lesion repair and stimulate hard tissue formation.17

In this case report, we present a simple treatment for severely displaced maxillary lateral and central incisors (teeth #12 and #11) using calcium hydroxide as an intracanal medicament to induce healing of a large periapical lesion and manage an ortho-endo problem.

Materials and methods

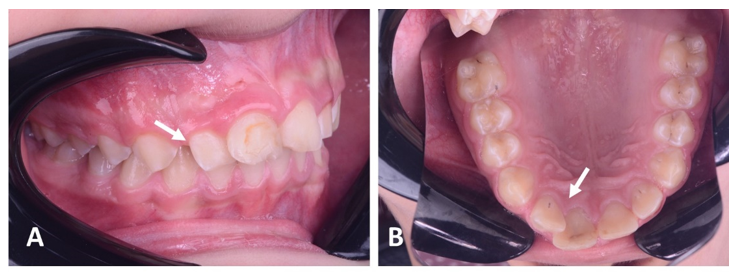
A 13‐year‐old male child had a chief complaint of a severely mesially displaced upper right lateral incisor (#12), which made his parents seek orthodontic treatment (Figure 1). The child was referred from the Department of Orthodontics to the Department of Endodontics for periapical surgery before the orthodontic treatment. The patient had no significant medical problems, and the upper right central incisor # 11 had a Class IV composite restoration. A cold vitality test with an ice stick showed no response in central #11 and lateral incisors # 12.

Figure 1 Pre-operative clinical photos showing lateral view. (A) and occlusal view (B) of a tilted lateral right incisor (tooth #12) (arrow).

The panoramic radiograph showed a periapical radiolucency between the central and lateral upper right incisors (Teeth # 12 and 11), and a confirmatory periapical radiograph revealed a large, well-defined radiolucency in the periapical region between the two teeth with severely diverged roots (Figure 2).

Figure 2 A panoramic radiograph shows tilted roots of the right lateral incisor due to pressure of the periapical lesion (circle). A preapical radiograph shows a large periapical lesion (14x26mm) with diverged roots of related teeth(# 12 and 11).

The case was diagnosed as necrotic pulp of both incisors, andthe treatment plan involved endodontic treatment of the two incisors and control of the periapical lesion using Ca(OH)2 medicament. Details of the case and the treatment plan were discussed with the patient and parents. Other alternatives were also discussed, such as changing medication, root-end surgery, or extraction. The parents signed an informed consent for the use of Ca(OH)2 as intracanal medication for a conservative alternative treatment instead of surgical intervention, and they agreed tothe publication of the case report.

After local infiltration anesthesia (2% lidocaine and 1:100,000 epinephrine, Lidocaine, Alex Pharma, Alexandria, Egypt), the two incisors were isolated using a rubber dam, and endodontic access was prepared following the conventional guidelines. Working length was established at 1 mm from the radiographic apex, and apical patency was kept with a #15 file to stimulate the drainage of turbid fluid and pus. Root canals were prepared with Pro Taper Universal system (Dentsply Maillefer, New York, USA), files up to F4 for central and F3 for lateral incisor (#12) using 2.5% sodium hypochlorite (Clorox, HC company, Egypt) as an irrigating solution during instrumentation, and 17% ethylene diamine tetra acetic acid (EDTA) (META Biomed Co, Korea) as final irrigation. The canal was rinsed with normal saline and dried with paper points. Calcium hydroxide medicament (META Biomed Co, Korea) was then placed into the canal, and the coronal cavity was provisionally sealed with a temporary filling material (Cavit™ G, 3M ESPE, Saint Paul, USA)

We scheduled a follow-up visit every two weeks for 3 months to change the calcium hydroxide medicament. In each visit, the old medication was removed with the master apical file, and the canal was rinsed with saline.  Canal patency was confirmed on each visit to keep the apical drain. After 3 months, the calcium hydroxide medication was completely removed, the root canals were cleaned as previously mentioned, and filled with gutta-percha points and sealer (Adseal, META Biomed Co, Korea) using the lateral condensation technique. A restorative glass ionomer filling (Kromoglass, LASCOD Spa, Firenze, Italy) was immediately used to seal the coronal preparation.

Results

The patient did not report any painful symptoms during the 3-month rest treatment or at other follow-up visits. The case was clinically asymptomatic as all signs and symptoms had disappeared completely, and the gingiva appeared normal on follow‐up recall (Figure 3). Periapical radiographs show signs of healing of the periapical lesion, increasing radiopacity, and decreasing root divergence through follow‐up recall at 6, 12, and 18 months (Figure 4).

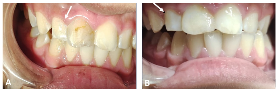
Figure 3 Clinical lateral views show the straightening of the tilted lateral incisor #12 (arrow) after two years (A) and complete treatment after restoration of the upper central incisor #11 (B).

Figure 4 Periapical radiographs show increasing radiopacity and a decrease in root divergence through follow-ups at 6 (A), 12 (B), and 18 (C) months.

After 24 months, follow-up radiographs showed up-righting of tilted roots and a decrease in radiolucency of the lesion, reflecting healing with new bone formation. The severe displacement was corrected, and the patient no longer required orthodontic treatment (Figure 5).

Figure 5 The post-operative radiograph (A) shows the extension of the periapical lesion and tilted roots, and the radiograph after 24 months (B) shows the healing of the periapical lesion and straightening of the tilted roots.

Discussion

Displaced teeth usually require orthodontic intervention and are referred to orthodontists for primary consultation. Teeth with large periapical lesions represent a combined problem that necessitates endodontic interventions. Although managing large periapical lesions is still not yet standardized, treating teeth with pulpal necrosis and large periapical cystic-like lesions should be as conservative as possible. Surgical interventions are unnecessary when nonsurgical endodontic treatment can be performed.18 Surgical interventions have several drawbacks, including loss of bone support, the possibility of damaging blood vessels and adjacent teeth innervation, shortening of tooth length, postoperative pain, and refusal to undergo surgical procedures, especially in young patients.4,5

The main purpose of nonsurgical treatment of the periapical lesion is to remove the cause of the lesion and prevent the microorganism from the site.17 Intracanal medicament can provide this mechanism and control the destructive effect of the infection. The direct contact of microorganisms with an intracanal medicament is attributed to damage of the cytoplasmic membrane, protein denaturation, and damage to DNA.  Although the challenge of establishing a mechanism for bacterial death, the effect of intracanal medicament can provide a stimulating environment for the healing process.18

Calcium hydroxide-based intracanal medicament is reported to be a crucial step in the nonsurgical management of large periapical lesions when accompanied by sufficient mechanical cleaning of the canal system and copious irrigation using sodium hypochlorite. These three steps can ensurea satisfactory outcome for controlling lesions with extensive bone destruction, and it is recommended to be initially considered before surgical intervention.19 Different formulations of calcium hydroxide were used to simulate the healing of large periapical lesions. Choudhary et al.20 reported two clinical cases of periapical lesions healing after a few months without invasive treatments.

Calcium hydroxide in the current case is an empirical treatment for a large apical lesion, which usually indicates cystic changes. However, the outcomes may be affected by host and microbial factors, including the virulence and longevity of the bacterial infection, periarticular bone loss or tissue damage, and apical anatomical complexity of the root canal. In addition, age and health conditions have been reported to affect the immune system's capability in periapical lesion healing.21 Meta-analysis performed by Baseri et al.22 demonstrated that the size of the periapical lesions had no significant effect on the success rate of their healing.

As with any treatment plan, the treatment strategy presented in this report has limitations that should be considered when planning for the treatment of displaced teeth secondary to large periapical lesions. Different confounders include the patient’s age and systemic health, the nature of the periapical lesion, the intracanal medicament, and the number of appointments required to complete the treatment.21 Awareness of side effects and the mode of action of calcium hydroxide should be considered when using this material as an intracanal medicament. Clinicians can apply this approach only when they have scientific evidence and good control over the case. The clinician's responsibility is to analyze possible variables and incorporate them into the disinfection strategy to maximize the healing environment.

This clinical case report emphasizes the importance of initiating conventional endodontic treatment before considering surgical intervention. Displaced teeth with large periapical lesions represent a combined ortho-endo problem that can be treated with conservative endodontics. Proper mechanical cleaning of the root canals, copious irrigation with sodium hypochlorite and EDTA, and the use of calcium hydroxide intracanal medicament help control the displacement of incisors and correct the orthodontic problem.

Conclusion

The incisor displacement due to large periapical lesions can be corrected with intracanal medication, which enables conservative healing of large periapical lesions.

Acknowledgments

None.

Conflicts of interest

The authors declare that there are no conflicts of interest.

References

  1. Moshari A, Vatanpour M, Ashari E, et al. Nonsurgical management of an extensive endodontic periapical lesion: a case report. Iran Endod J. 2017;12(1):116–119.
  2. Nair P. Pathobiology of primary apical periodontitis. In Lous S. Pathway of the pulp, 9th Ed: Mosby. 2006;541–542.
  3. Modaresi J, Nasr N. Nonsurgical endodontic management of large periapical lesion with cold ceramic: a literature review and case series. Iran Endod 2023;18(2):113–121.
  4. Siqueira JF, Rôças IN, Riche FN, et al. Clinical outcome of the endodontic treatment of teeth with apical periodontitis using an antimicrobial protocol. Oral Surg Oral Med Oral Pathol Oral Radiol Endod. 2008;106(5):757–762.
  5. Fernandes M, de Ataide I. Nonsurgical management of periapical lesions. J Conserv Dent. 2010;13(4):240–245.
  6. Mehta D, Coleman A, Lessani M. Success and failure of endodontic treatment: predictability, complications, challenges and maintenance. Br Dent J. 2025;238(7):527–535.
  7. Saini A, Nangia D, Sharma S, et al. Outcome and associated predictors for nonsurgical management of large cyst–like periapical lesions: a CBCT–based prospective cohort study. Int Endo J. 2023;56:146–163.
  8. Fernandes M, De Ataide I. Non–surgical management of a large periapical lesion using a simple aspiration technique: a case report. Int Endod J. 2010;43(6):536–542.
  9. Sabeti MA, Nekofar M, Motahhary P, et al. Healing of apical periodontitis after endodontic treatment with and without obturation in dogs. J Endod. 2006;32(7):628–633.
  10. Rahimi S, Janani M, Lotfi M, et al. A review of antibacterial agents in endodontic treatment. Iran Endod J. 2014;9(3):161–168.
  11. Ghose LJ, Baghdady VS, Hikmat YM. Apexification of immature apices of pulpless permanent anterior teeth with calcium hydroxide. J Endod. 1987;13(6):285–290.
  12. Rotstein I, Friedman S, Katz J. Apical closure of mature molar roots with the use of calcium hydroxide. Oral Surg Oral Med Oral Pathol. 1990;70(5):656–660.
  13. Sood N, Maheshwari N, Gothi R, et al. Treatment of large periapical cyst–like lesion: a noninvasive approach: a report of two cases. Int J Clin Pediatr Dent. 2015;8(2):133–137.
  14. Talpoș–Niculescu R, Veja I, Neagu CS, et al. Nonsurgical endodontics and decompression–based management of extensive periapical cystic–like lesions: a comparative and radiological study with a two–year follow–up. J Clin Med. 2025 Aug 29;14(17):6127.
  15. Valois CR, Costa–Júnior ED. Periapical cyst repair after nonsurgical endodontic therapy: case report. Braz Dent J. 2005;16(3):254–258.
  16. Dako T, Pop M, Fulop J, et al. The use of calcium hydroxide as an intracanal medicament in the treatment of large periapical lesions. A review. Acta Medica Transilvanica. 2020;25:58–60.
  17. Talpos–Niculescu RM, Popa M, Rusu LC, et al. Conservative approach in the management of large periapical cyst–like lesions. A report of two cases. Medicina (Kaunas). 2021;57(5):497.
  18. Maral SA, Borkar AC, Tandale AB, et al. Nonsurgical management of persistent periapical lesions in the anterior region- a systematic review. J Int Clin Dent Res Organ. 2020;12:8–17.
  19. Choudhary D, Singh A, Wazir ND. Calcium hydroxide induced healing of periapical radiolucency: a case series. Indian J Conserv Endod. 2020;15(5):123–126.
  20. Zapata RO, Noblett WC, Ron AP, et al. Present status and future directions of intracanal medicaments. Int Endod J. 2022; 55(3):613–636.
  21. Baseri M, Radmand F, Milani AS, et al. The effect of periapical lesion size on the success rate of different endodontic treatments: a systematic review and meta–analysis. Evid Based Dent. 2023 Mar;24(1):43.
Creative Commons Attribution License

©2026 Fawzy, et al. This is an open access article distributed under the terms of the, which permits unrestricted use, distribution, and build upon your work non-commercially.