Submit manuscript...
eISSN: 2574-9838

International Physical Medicine & Rehabilitation Journal

Case Report Volume 10 Issue 2

Bilateral carpal tunnel syndrome: contralateral effect following corticosteroid injection

Carolina Paiva,1 Sandra Assuncao,1 Sofia Moreira,1 André Ribeiro,1 Yuriy Mazin,2 Nuno Madureira,1 Ana Borges,1 Carolina Lourenço,1 Filipe Carvalho1

1Coimbra Local Healthcare Unit, Central Region Rehabilitation Medicine Center Department, Portugal
2Gaia/Espinho Local Healthcare Unit, North Rehabilitation Center, Portugal

Correspondence: Carolina Paiva, Coimbra Local Healthcare Unit, Central Region Rehabilitation Medicine Center Department, Portugal

Received: May 24, 2025 | Published: June 4, 2025

Citation: Paiva C, Assuncao S, Moreira S, et al. Bilateral carpal tunnel syndrome: contralateral effect following corticosteroid injection. Int Phys Med Rehab J. 2025;10(2):31-32. DOI: 10.15406/ipmrj.2025.10.00395

Download PDF

Abstract

Background: Carpal tunnel syndrome (CTS) is the most common compressive mononeuropathy and often presents bilaterally. Corticosteroid injections are a standard conservative treatment. Contralateral improvement following unilateral injection has been reported but remains poorly understood.

Case presentation: An 81-year-old male with bilateral CTS confirmed by electroneuromyography was administered a single ultrasound-guided corticosteroid injection to the left wrist. At 30-day follow-up, the patient reported complete resolution of symptoms in both hands. At 6 months, he remained asymptomatic and follow-up nerve conduction studies demonstrated bilateral improvement.

Conclusion: This case supports the hypothesis that unilateral corticosteroid injection may result in bilateral symptom relief in patients with CTS, possibly mediated by central neural mechanisms. These findings may influence treatment strategies, although further studies are needed to clarify underlying mechanisms and long-term outcomes.

Introduction

Carpal tunnel syndrome (CTS) is the most prevalent peripheral compressive mononeuropathy, affecting up to 5% of the general population.1,2 It frequently presents bilaterally, with up to 87% of cases exhibiting electrophysiological or symptomatic involvement of both hands.3 While corticosteroid injections are effective for mild to moderate CTS, they are typically administered unilaterally, initially targeting the most symptomatic hand.4,5 Although corticosteroid injections are considered local treatments,6,7 emerging reports suggest the possibility of contralateral symptomatic improvement. This case report describes a patient with bilateral CTS who experienced bilateral symptom and nerve conduction improvement after a single corticosteroid injection administered to the left wrist. A review of current literature regarding possible mechanisms underlying this phenomenon was also made.

Case presentation

An 81-year-old right-handed male, retired but still active in agriculture, presented with persistent bilateral hand paresthesia, worse on the left side and predominantly nocturnal. His medical history was unremarkable. On examination, there was no thenar atrophy. Tinel’s sign was positive bilaterally, while Phalen’s test was negative. Hypoesthesia was present in the median nerve distribution of both hands, but muscle strength was preserved (Medical Research Council grade 5). The DN4 questionnaire scored 6/10, indicating neuropathic pain features. Electroneuromyography confirmed severe bilateral CTS, with evidence of sensorimotor median nerve compression at the carpal tunnel. Based on symptom severity and patient preference, an ultrasound-guided perineural injection of 40 mg triamcinolone acetonide with 1% lidocaine was administered to the left wrist. Ultrasound revealed an enlarged median nerve (cross-sectional area: 13 mm²) at the carpal tunnel inlet, confirming the diagnosis. No intervention was performed on the right wrist.

At the 30-day follow-up, the patient reported complete resolution of symptoms in both hands. The DN4 questionnaire score decreased from 6/10 to 1/10, with only residual hypoesthesia. Tinel’s sign was negative bilaterally. No adverse events were reported. At the 6-month follow-up, the patient remained asymptomatic. A repeat electroneuromyography demonstrated improvements in both the treated (left) and untreated (right) median nerves. A detailed summary of electrophysiological changes is presented in Table I.

Sensory neurography

Parameters

Latency (ms)

Amplitude (mV)

Duration (s)

Velocity conduction (m/s)

T0

FW

T0

FW

T0

FW

T0

FW

Medianus sensory right

NR

5,83

NR

1,98

NR

4,1

NR

23,7

Medianus sensory left

NR

4,63

NR

2,3

NR

2,1

NR

28,9

Motor neurography

Parameters

Latency (ms)

Amplitude (mV)

Area (ms*mv)

T0

FW

T0

FW

T0

FW

Medianus motor right

7,0

5,91

3,0

5,1

8,1

14,4

Medianus motor left

7,3

5,27

4,5

5,9

12,9

12,8

Table I Median motor and sensory neurography. Parameters before treatment (T0) and at 6-month follow-up (FW)

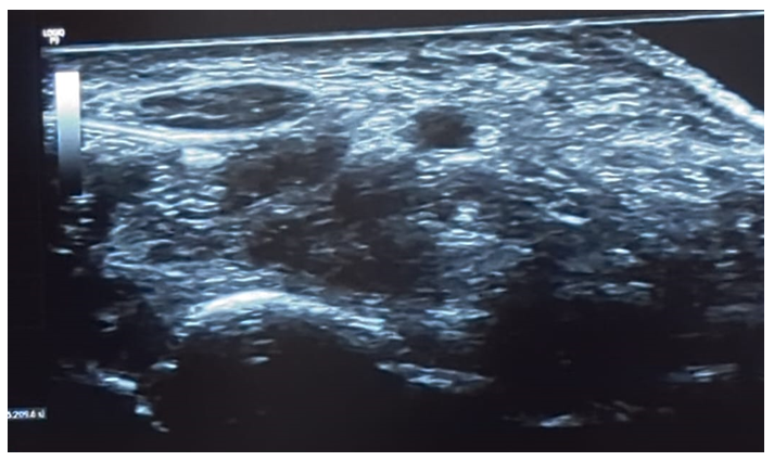
Figure 1 Ultrasound examination of the median nerve revealing an enlarged cross-sectional area of 13 mm², consistent with CTS diagnosis.

Discussion

Contralateral improvement following surgical decompression for CTS has been previously reported,8 but the phenomenon following corticosteroid injection is less well understood. Initially, systemic absorption of corticosteroids was proposed to explain this effect. However, studies showing contralateral improvement after surgical decompression where no pharmacologic agents are used, challenge this hypothesis. The consistency of bilateral improvement points toward central nervous system mechanisms. Proposed mechanisms include:

  • Cortical Reorganization: Neuroimaging studies have shown that patients with CTS experience changes in somatosensory cortical representation. Specifically, the primary somatosensory cortex undergoes reorganization, reflecting chronic nociceptive input. Symptoms relief on one side may induce a rebalancing of this distorted cortical map, leading to perceived improvement on the contralateral side;9–11
  • Spinal Interneuronal Crosstalk: Evidence from neurophysiological studies supports the existence of midline-crossing spinal interneurons, especially in cervical spinal cord, which could facilitate bilateral modulation of sensory processing following unilateral intervention;12,13
  • Descending Pain Modulation: Central descending inhibitory pathways can regulate bilateral spinal nociceptive processing. Improvement in one hand may activate descending circuits, resulting in a generalized pain sensitivity decrease, including contralateral limb.14,15

This neurophysiological framework supports the idea that unilateral interventions can lead to bilateral effects, with implications for how bilateral CTS is managed. In selected cases, a stepwise, unilateral injection strategy could be considered, potentially deferring or avoiding bilateral treatment or surgery.

Conclusion

This case highlights the possibility of contralateral clinical and electrophysiological improvement in bilateral CTS following unilateral corticosteroid injection. These findings, while based on limited data, align with evidence from controlled trials and systematic reviews and suggest the involvement of central neurophysiological mechanisms. A stepwise treatment approach may be a reasonable strategy in bilaterally symptomatic patients, although further controlled studies are necessary to confirm long-term outcomes and elucidate underlying mechanisms.

Acknowledgments

None.

Conflicts of interest

The authors declares that there are no conflicts of interest.

References

  1. Mondelli M, Giannini F, Giacchi M. Carpal tunnel syndrome incidence in a general population.Neurology. 2002;58(2):289–294.
  2. Aroori S, Spence RA. Carpal tunnel syndrome.Ulster Med J. 2008;77(1):6–17.
  3. Padua L, Pazzaglia C, Caliandro P, et al. Carpal tunnel syndrome: ultrasound, neurophysiology, clinical and patient-oriented assessment. Clin Neurophysiol. 2008;119(9):2064–2069.
  4. Marshall S, Tardif G, Ashworth N. Local corticosteroid injection for carpal tunnel syndrome. Cochrane Database Syst Rev. 2007;2:CD001554.
  5. Piazzini DB, Aprile I, Ferrara PE, et al. A systematic review of conservative treatment of carpal tunnel syndrome. Clin Rehabil. 2007;21(4):299–314.
  6. Uchiyama S, Itsubo T, Nakamura K, et al. Current concepts of carpal tunnel syndrome: pathophysiology, treatment, and evaluation. J Orthop Sci. 2010;15(1):1–13.
  7. O’Gradaigh D, Merry P. Corticosteroid injection for the treatment of carpal tunnel syndrome. Ann Rheum Dis. 2000;59(11):918–919.
  8. Georgeto SM, Picharski GL, Andraus RAC, et al. Outcomes of bilateral carpal tunnel syndrome treatment - a systematic review and meta-analysis. J Plast Reconstr Aesthet Surg. 2022;75(9):3250–3259.
  9. Napadow V, Kettner N, Ryan A, et al. Somatosensory cortical plasticity in carpal tunnel syndrome-a cross-sectional fMRI evaluation. Neuroimage. 2006;31(2):520–530.
  10. Tecchio F, Padua L, Aprile I, et al. Carpal tunnel syndrome modifies sensory hand cortical somatotopy: a MEG study. Hum Brain Mapp. 2002;17(1):28–36.
  11. Napadow V, Dhond R, Park K, et al. Intrinsic brain connectivity in carpal tunnel syndrome–Intrinsic somatosensory reorganization. 2012;153(7):1492–1500.
  12. Kandel ER, Schwartz JH, Jessell TM, et al. Principles of neural science. 5th edition. New York: McGraw-Hill; 2013.
  13. Wall PD, Melzack R. The challenge of pain. 2nd edition. London: Penguin Books; 1999.
  14. Fields HL. State-dependent opioid control of pain. Nat Rev Neurosci. 2004;5(7):565–575.
  15. Millan MJ. Descending control of pain. Prog Neurobiol. 2002;66(6):355–474.
Creative Commons Attribution License

©2025 Paiva, et al. This is an open access article distributed under the terms of the, which permits unrestricted use, distribution, and build upon your work non-commercially.